
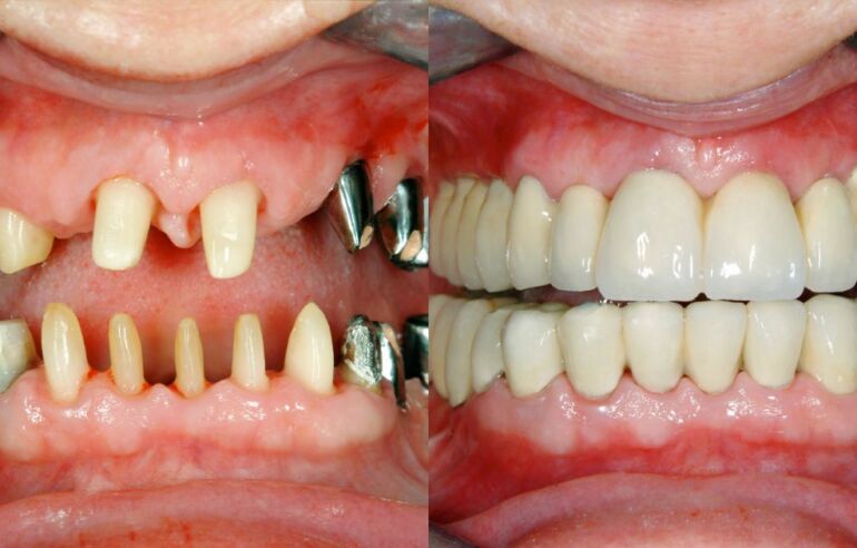
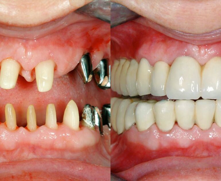
Digital Smile Design in Orthodontics: How It Works
Looking for advanced orthodontic treatment in Kolkata? Digital Smile Design offers accurate planning and stunning smile results. Book your consultation today.

How New Orthodontic Technologies Are Changing Treatment
Orthodontic Technologies has come a long way from the days of metal wires and bulky braces. Today, modern technology has completely transformed how we align teeth, correct bites, and improve smiles. At Teeth Care Multispeciality Dental Clinic, one of the most trusted dental clinics in Kolkata, patients now experience faster, more comfortable, and highly precise treatments, thanks to cutting-edge orthodontic innovations.
If you’ve been delaying orthodontic treatment because you fear discomfort or long procedures, the good news is that things have changed dramatically. The latest technologies not only make treatment smoother and more discreet but also deliver outstanding results with shorter treatment times.
In this article, we’ll explore the most significant advances in orthodontic care and how they’re improving both patient experience and outcomes.
The Evolution of Orthodontic Care
Orthodontics was once associated mainly with teenagers wearing metal braces. But now, it’s a solution for all ages, from children with early alignment issues to adults seeking aesthetic smile corrections.
The evolution began when digital dentistry and advanced imaging entered the field. These new tools allowed orthodontists to plan treatments with pinpoint accuracy and customize solutions for every individual.
Today, when you visit a top orthodontist in Kolkata, you’ll likely experience a fully digital workflow, from 3D scans to computer-guided treatment simulations. This shift is redefining how orthodontic care is delivered and how patients experience it.
1. Digital Scanning and 3D Imaging
Remember those gooey molds used to take impressions of your teeth? They’re quickly becoming obsolete. Digital scanners now allow orthodontists to create a 3D image of your mouth in minutes, without discomfort.
At Teeth Care Multispeciality Dental Clinic, orthodontists use advanced intraoral scanners that capture thousands of images per second. These images are stitched together to create an accurate 3D model of your teeth and bite.
Why This Matters
- Better accuracy: Digital scans eliminate errors that can occur with traditional molds.
- Comfort: No more gagging or messy materials.
- Speed: Digital scans are completed in minutes and instantly ready for analysis.
- Visualization: Patients can see a digital preview of their smile correction journey.
How It Benefits Patients in Kolkata
For patients looking for orthodontic treatment in Kolkata, digital scanning means faster diagnosis and shorter wait times. It also ensures that appliances like braces or aligners fit perfectly from the start, reducing adjustment visits.
2. Clear Aligners: The Revolution in Aesthetic Orthodontics
Clear aligners or invisible braces are one of the most popular orthodontic innovations of the last decade. Unlike traditional braces, these transparent trays are removable, comfortable, and virtually invisible.
If you’re a working professional or college student in Kolkata who wants to straighten teeth without drawing attention, aligners are a great option.
Benefits of Clear Aligners
- Nearly invisible – Perfect for adults and professionals.
- Removable – Easy to eat, brush, and maintain oral hygiene.
- Predictable results – Treatment plans are guided by digital simulations.
- Comfortable – No metal wires or brackets that irritate the gums.
Why Kolkata Patients Are Choosing Clear Aligners
Many patients prefer aligners for their lifestyle convenience. With top-rated orthodontists in Kolkata offering customized aligner plans, you can now enjoy a straighter smile without compromising your confidence.
3. Self-Ligating Braces: Faster, More Comfortable, and Smarter
Traditional braces require elastic or metal ties to hold wires in place. Self-ligating braces, however, use a built-in clip mechanism that reduces friction and pressure on teeth.
Advantages Over Traditional Braces
- Shorter treatment time – Teeth move more efficiently.
- Fewer appointments – Less frequent tightening visits.
- More comfort – Reduced friction means gentler tooth movement.
- Easier cleaning – Fewer food traps compared to rubber ligatures.
At Teeth Care Multispeciality Dental Clinic, orthodontists use self-ligating systems to provide faster and smoother results, ideal for patients who want an efficient treatment process.
4. 3D Printing in Orthodontics
3D printing has transformed how orthodontic appliances are designed and manufactured. With this technology, your orthodontist can produce customized brackets, retainers, and aligners within the clinic, reducing dependency on external labs.
Key Benefits
- Personalized appliances tailored to each patient’s mouth.
- Faster turnaround devices can be ready in days, not weeks.
- Precision fit that ensures better comfort and results.
Example in Practice
When a patient at Teeth Care Multispeciality Dental Clinic opts for clear aligners, the 3D-printed models allow precise control over each stage of tooth movement. This precision reduces treatment time and enhances final outcomes.
5. Digital Treatment Planning and Simulation
Digital orthodontic software lets orthodontists visualize the end result before treatment even begins. Patients can see 3D simulations of how their smile will evolve over time.
This digital planning improves predictability and helps patients make informed decisions. It also ensures that every adjustment is made based on data, not just observation.
Why It’s a Game-Changer
- Transparent process – You’ll see exactly how your smile will change.
- Customized treatment – Every plan is tailored to your facial structure and dental anatomy.
Better communication – Orthodontists can show progress digitally during follow-ups.
6. Accelerated Orthodontics
Many patients today look for ways to shorten treatment duration. Accelerated orthodontics involves advanced techniques that stimulate faster tooth movement while maintaining safety.
Techniques Used
- High-frequency vibration devices – Improve blood flow and bone remodeling.
- Micro-osteoperforation – Stimulates bone response for quicker tooth movement.
- Laser therapy – Reduces discomfort and enhances cellular activity.
These methods are carefully applied by skilled orthodontists to ensure both speed and stability of results.
For patients visiting orthodontists in Kolkata, these advanced options are now available right here, without having to travel to metro cities like kolkata, Delhi and Mumbai.
7. Remote Monitoring and AI in Orthodontics
AI and remote monitoring are changing how orthodontists track progress. Patients can now send periodic scans or selfies through mobile apps, allowing the orthodontist to review progress without an in-person visit.
Benefits
- Convenience: Fewer clinic visits.
- Consistency: Regular progress tracking from home.
- Precision: AI software detects even the smallest deviations in tooth movement.
Why It Matters in Kolkata
With busy schedules and traffic challenges, many patients prefer flexible monitoring. Teeth Care Multispeciality Dental Clinic integrates digital communication tools so that patients stay connected with their orthodontist even between appointments.
8. Robotic Wire Bending and Smart Brackets
In modern orthodontics, even wires and brackets are becoming “smart.” Robotic wire-bending technology ensures that each archwire is shaped with extreme precision based on the patient’s customized digital model.
The Results
- Improved accuracy – Each tooth moves exactly as planned.
- Reduced chair time – Less manual adjustment needed.
- Consistent outcomes – Reduces human error in wire shaping.
These advancements bring greater precision and predictability, essential for complex orthodontic cases handled by leading orthodontists in Kolkata.
9. Lingual Braces: Hidden Yet Effective
Lingual braces are attached to the inside surfaces of teeth, making them virtually invisible. Modern designs and computer-aided customization have made them more comfortable and efficient than ever.
Benefits of Lingual Braces
- Completely hidden from view.
- Customized to fit the inner contours of your teeth.
- Effective for complex movements where aligners may not suffice.
For patients in Kolkata who want a discreet yet powerful solution, Teeth Care Multispeciality Dental Clinic offers personalized lingual orthodontic options designed for aesthetics and performance.
10. Integrating Orthodontics with Overall Dental Health
Orthodontic treatment isn’t just about aesthetics, it also improves oral function and long-term dental health. With new technologies, orthodontists can now coordinate treatment more efficiently with other dental specialties.
Comprehensive Digital Approach
At Teeth Care Multispeciality Dental Clinic, the orthodontic team collaborates with prosthodontists, periodontists, and oral surgeons using shared 3D data. This integration ensures comprehensive treatment planning and long-lasting results.
This holistic, digital-first approach minimizes complications and creates harmony between alignment, bite, and jaw health.
The Patient Experience: What You Can Expect
From your first consultation to your final retainer fitting, the patient journey at a technologically advanced clinic looks completely different today:
- Digital Assessment: Quick 3D scan, x-rays, and smile preview.
- Personalized Plan: Discuss treatment options (aligners, self-ligating braces, etc.).
- Predictable Progress: Regular updates through digital tracking.
- Faster Results: Enhanced by AI, vibration devices, and smart wires.
All this ensures your orthodontic treatment in Kolkata is smooth, efficient, and comfortable.
Why Choose Teeth Care Multispeciality Dental Clinic
Choosing the right orthodontist can make all the difference in your treatment experience. At Teeth Care Multispeciality Dental Clinic, we combine modern orthodontic technologies with years of clinical expertise.
What Sets Us Apart
- Experienced orthodontists in Kolkata with advanced training.
- Fully digital workflow from diagnosis to appliance fabrication.
- Customized treatment plans using AI and 3D printing.
- Comfort-focused approach for all ages.
- Affordable payment options for every patient.
Whether you need clear aligners, self-ligating braces, or lingual orthodontics, our specialists ensure that your journey to a perfect smile is seamless and rewarding.
Conclusion
The field of orthodontics is evolving faster than ever. Technologies like digital imaging, AI, and 3D printing are not just improving precision but also enhancing comfort and speed. Patients in Kolkata no longer need to travel far for advanced care, world-class orthodontic solutions are available right here.
At Teeth Care Multispeciality Dental Clinic, we believe that everyone deserves a confident smile supported by the best technology and care.
If you’re ready to begin your smile transformation, schedule a consultation with our expert orthodontists today. Experience how modern orthodontic innovation can redefine your confidence and comfort.
Frequently Asked Questions (FAQs)
How do I know which orthodontic treatment is right for me?
The best way to find out is through a consultation with an experienced orthodontist in Kolkata. At Teeth Care Multispeciality Dental Clinic, we use digital scans and simulations to show you different treatment options, whether that’s clear aligners, self-ligating braces, or lingual braces, so you can make an informed decision.
Are clear aligners as effective as braces?
Yes, clear aligners can be just as effective for mild to moderate alignment issues. They are ideal for patients who prefer a removable and discreet option. However, for more complex cases involving severe crowding or bite correction, your orthodontist may recommend traditional or self-ligating braces for better control.
How long does modern orthodontic treatment take?
Treatment duration depends on the complexity of your case, but new technologies like self-ligating braces, 3D digital planning, and vibration-assisted devices can shorten the treatment time significantly. Many patients start seeing noticeable improvements within a few months.
Is orthodontic treatment painful?
Modern orthodontics focuses on comfort. With advanced materials and digital precision, discomfort is minimal and temporary. Self-ligating braces and clear aligners use gentle, consistent pressure rather than tight wires, making the process much more comfortable than before.
Can adults undergo orthodontic treatment?
Absolutely. Adult orthodontics is becoming increasingly common. With discreet options like clear aligners and lingual braces, adults can now correct misaligned teeth without affecting their appearance or lifestyle.
How often do I need to visit the clinic during treatment?
With advanced monitoring systems and digital planning, you’ll need fewer in-person visits than with traditional braces. Most patients visit every 6–8 weeks for quick progress checks and adjustments. Some follow-ups can even be done remotely using photos or scans.
Do I need retainers after completing treatment?
Yes. Retainers are essential to maintain your new smile after braces or aligners. They prevent your teeth from shifting back to their original position. Your orthodontist will guide you on how long you’ll need to wear them.
How do 3D scanners and digital imaging improve results?
Digital scanners capture detailed images of your teeth with exceptional precision, ensuring that your appliances fit perfectly. They also allow your orthodontist to plan every tooth movement accurately and predict the final outcome before starting treatment.

Tooth Extraction or RCT: Which Treatment Is Right for You?
When a tooth gets severely damaged or infected, two common dental procedures often come into consideration: Root Canal Treatment (RCT) and Tooth Extraction. Both aim to relieve pain and prevent further oral health issues, but the approach, recovery, and long-term outcomes differ significantly.
If you are unsure whether to save your natural tooth or remove it, this guide will help you understand the key differences, benefits, and what to expect from both treatments.
Understanding Root Canal Treatment (RCT)
Root Canal Treatment is a procedure that removes infected pulp from inside a tooth, cleans and disinfects the root canals, and then seals them with a dental filling.
The goal is to preserve your natural tooth while eliminating infection and pain. It’s usually recommended when the tooth’s pulp (the innermost layer containing nerves and blood vessels) is inflamed or infected due to:
- Deep decay
- Cracked or broken tooth
- Repeated dental procedures
- Gum disease
Once the RCT is complete, the tooth is often restored with a dental crown for added protection and strength.
Understanding Tooth Extraction
Tooth Extraction involves completely removing a tooth from its socket. It’s generally performed when the tooth is beyond repair, poses a risk to surrounding teeth, or when orthodontic or wisdom tooth issues arise.
Common reasons for extraction include:
- Severe tooth decay that has damaged most of the structure
- Advanced gum disease causing tooth mobility
- Impacted wisdom teeth
- Fractured teeth below the gum line
- Overcrowding before orthodontic treatment
Tooth extraction can be simple (for visible teeth) or surgical (for impacted or broken teeth). After extraction, the dentist may recommend replacement options such as implants, bridges, or dentures to maintain oral balance.
Procedure: RCT vs Tooth Extraction
|
Aspect |
Root Canal Treatment (RCT) |
Tooth Extraction |
|
Objective |
Save the natural tooth |
Remove the damaged or infected tooth |
|
Process |
Cleaning, disinfecting, and sealing the pulp chamber |
Removing the entire tooth from the jawbone |
|
Duration |
Usually 1-2 sessions |
Usually 20-40 minutes per tooth |
|
Pain Level |
Minimal with local anesthesia |
Minimal with anesthesia, but more discomfort during healing |
|
Healing Time |
A few days |
7-14 days, depending on complexity |
|
Restoration Needed |
Dental crown or filling |
Replacement (implant, bridge, denture) may be needed |
Pain and Discomfort: What to Expect
Many patients fear RCT because they assume it’s painful. In reality, with modern anesthetics and techniques, RCT is relatively painless, similar to getting a filling.
After an RCT, you may experience mild sensitivity or soreness for a few days, which can be managed with prescribed painkillers.
Tooth extraction, on the other hand, can cause more post-operative discomfort since it involves removing the tooth and disturbing surrounding tissues. Swelling and bleeding may occur for a short time, but these subside as healing progresses.
Recovery Time
After Root Canal Treatment
- Mild tenderness for 2-3 days
- Normal eating within 24 hours
- Full recovery in 3-7 days
After Tooth Extraction
- Initial healing in 7-10 days
- Bone and gum tissue fully heal in about 3-4 weeks
- Implants or prosthetics are recommended after complete recovery
Cost Comparison: RCT vs Tooth Extraction
|
Procedure |
Average Cost (India) |
Additional Costs |
|
Root Canal Treatment |
₹3,000 – ₹8,000 per tooth |
Crown: ₹3,000 – ₹10,000 |
|
Tooth Extraction |
₹800 – ₹5,000 (simple to surgical) |
Implant/bridge: ₹20,000 – ₹40,000 |
Although extraction appears cheaper initially, the cost of replacing a missing tooth (implant or bridge) often makes it more expensive in the long run.
Aesthetic and Functional Impact
Saving your natural tooth through RCT helps maintain your natural bite and smile. The tooth remains anchored in the jawbone, preventing bone loss and shifting of adjacent teeth.
Tooth extraction, on the other hand, can lead to bone resorption and alignment issues over time if not replaced promptly. Missing teeth may also affect speech and chewing efficiency.
Longevity and Success Rate
- RCT Success Rate: 85-95% when done by an experienced dentist and followed by proper restoration.
- Extraction + Implant Success Rate: 95-98%, but involves surgery, higher cost, and longer recovery.
RCT-treated teeth can last for decades with proper oral hygiene and timely crown placement. Extraction followed by implant restoration can also be long-lasting but requires surgical precision and bone health evaluation.
When to Choose Root Canal Treatment
Your dentist will usually recommend RCT when:
- The tooth structure is strong enough to support a crown
- The infection is confined within the pulp and roots
- You want to preserve your natural smile
- There’s no extensive bone damage around the tooth
RCT is ideal for most cases of pulp infection or deep cavities where the outer tooth can still be saved.
When to Choose Tooth Extraction
Tooth extraction is usually preferred when:
- The tooth is severely decayed beyond restoration
- The infection has spread to surrounding bone
- The tooth is fractured vertically
- There’s not enough structure left for a crown
- Wisdom teeth are impacted or causing crowding
In these cases, extraction helps eliminate infection sources and prevent further oral complications.
Post-Treatment Care
After RCT
- Avoid chewing on the treated tooth until the final crown is placed.
- Brush and floss regularly to prevent reinfection.
- Visit your dentist for follow-up X-rays if needed.
After Extraction
- Avoid spitting or using straws for 24 hours (prevents dry socket).
- Use a cold compress to reduce swelling.
- Stick to soft foods and avoid hot drinks for 2-3 days.
- Rinse gently with warm salt water after 24 hours.
Which Option is Better?
If your natural tooth can be saved, Root Canal Treatment is often the best option. It maintains your natural appearance, chewing function, and jawbone strength.
However, if the tooth is too damaged or poses a risk of spreading infection, Tooth Extraction is the right choice. Your dentist will guide you through suitable replacement options like implants or bridges to restore aesthetics and function.
Expert Opinion: Teeth Care Multispeciality Dental Clinic
At Teeth Care Multispeciality Dental Clinic, our team of experienced endodontists and oral surgeons carefully evaluates each case to recommend the most effective solution.
We focus on saving natural teeth whenever possible through painless and advanced root canal procedures. When extraction is necessary, we ensure it’s done with precision and provide comprehensive aftercare along with tooth replacement options to restore your smile.
Our clinic is equipped with digital X-rays, rotary endodontic systems, and sedation dentistry, ensuring that every treatment is comfortable, accurate, and efficient.
Conclusion
Both Root Canal Treatment and Tooth Extraction have their place in modern dentistry. While RCT aims to save your natural tooth and maintain oral harmony, extraction is sometimes unavoidable when the damage is beyond repair.
The right decision depends on the extent of infection, tooth structure, and long-term dental health goals. Consulting an experienced dentist at Teeth Care Multispeciality Dental Clinic can help you make the best choice for your oral well-being.
How Long Is the Dental Implants Recovery?
Dental implants are one of the most trusted and natural-looking solutions for missing teeth. They restore both function and appearance, helping you smile, chew, and speak with confidence again. However, many patients wonder, how long does it take to recover from a dental implant procedure?
The recovery time for dental implants varies from person to person. It depends on factors like oral health, bone condition, and the number of implants placed. In this detailed guide, we’ll explore the entire healing process, from the first day after surgery to full recovery.
What Are Dental Implants?
A dental implant is a small titanium post surgically inserted into the jawbone to act as an artificial tooth root. Once it fuses with the bone, a process called osseointegration, a crown or artificial tooth is attached on top, completing the restoration.
Dental implants are preferred because they:
-
Look and feel like natural teeth -
Prevent bone loss -
Require no support from adjacent teeth -
Provide a permanent and stable solution
The implant’s success depends heavily on how well your body heals after surgery, which makes understanding the recovery timeline very important.
The Average Dental Implants Recovery Timeline
In general, dental implant recovery takes between 3 to 6 months. But this is not the same for everyone. Some people heal faster, while others may need additional time, especially if bone grafting or multiple implants are involved.
Here’s a breakdown of what you can expect:
|
Stage |
Timeline |
What Happens |
|
Initial Healing |
1–2 weeks |
Gums heal, swelling and discomfort reduce. |
|
Osseointegration Phase |
3–6 months |
The implant fuses with the jawbone. |
|
Abutment Placement |
1–2 weeks |
Gums heal after attaching the connector piece. |
|
Crown Placement |
After full healing |
The permanent crown is fixed, completing the process. |
This timeline may shift based on your individual health and lifestyle habits
The Dental Implant Healing Stages Explained
To better understand how long recovery takes, it helps to know what happens at each stage.
1. The First 24–48 Hours: Immediate Healing Phase
Right after the surgery, it’s normal to experience mild discomfort, swelling, or minor bleeding. These are natural signs that your body has started healing.
What You’ll Feel:
-
Slight swelling or tenderness around the surgical area -
Light bleeding during the first 24 hours -
Some jaw stiffness or mild pain
Care Tips:
-
Apply ice packs on the cheek to minimize swelling. -
Eat soft, cool foods such as yogurt, soups, and mashed potatoes. -
Avoid touching the surgical site with your tongue or fingers. -
Rest and avoid any heavy physical activity.
2. Week 1–2: Gum Healing Stage
Within a week, the gums begin to close around the implant. Pain and swelling will reduce significantly, and you’ll start to feel more comfortable.
During This Time:
-
Any stitches (if non-dissolvable) may be removed. -
The implant area starts to stabilize -
Eating and talking become easier
Helpful Tips:
-
Continue using a prescribed mouth rinse. -
Keep your mouth clean but brush gently near the implant site. -
Avoid smoking and alcohol, as they slow healing. -
Stick to soft foods if your gums still feel tender.
3. Month 1–3: Osseointegration Stage
This is the most critical phase of the healing process. The implant slowly bonds with your jawbone, forming a strong base that will support your new tooth.
What’s Happening Inside:
-
Bone cells grow around the implant surface. -
The implant becomes part of your jaw structure. -
There’s usually no pain, though the healing continues internally.
Even if you feel fine, this stage requires patience. Proper healing here ensures long-term success and stability of the implant.
4. Month 4–6: Abutment and Crown Placement
Once the implant has fused with the bone, your dentist will place an abutment, which connects the implant to the crown. After the gums heal around it (usually 1–2 weeks), your final dental crown is attached.
The crown is custom-made to match the color, shape, and size of your natural teeth. Once fitted, it looks completely natural and functions just like a real tooth.
What Affects Dental Implant Recovery Time?
Not everyone heals at the same pace. Several factors can affect how long it takes for your dental implant to recover fully.
- Bone Health and Density: A strong jawbone helps the implant integrate faster. If the bone is thin or weak, a bone graft may be necessary before the implant, which adds extra healing time.
- Oral Hygiene: Good oral hygiene is crucial for preventing infection and ensuring proper healing. Poor cleaning habits can lead to inflammation or implant failure.
- Overall Health: People with diabetes, autoimmune conditions, or poor immune response may take longer to heal. Managing chronic health conditions and maintaining a balanced diet can improve recovery.
- Smoking and Alcohol: Nicotine restricts blood flow and reduces oxygen supply to tissues, making healing slower. Alcohol can also interfere with medication and wound recovery. It’s best to avoid both during recovery.
- Number of Implants: Healing time increases if you’ve had multiple implants placed or undergone full-mouth reconstruction compared to a single implant.
- Additional Procedures: If you had a sinus lift or bone grafting, expect a longer recovery timeline since these procedures need their own healing period before the implant can be placed.
Tips to Speed Up Dental Implant Recovery
While you can’t rush natural healing, you can support your body’s recovery with proper care.
- Follow Post-Operative Instructions: Your dentist will give you clear aftercare guidelines. Stick to them strictly, especially when it comes to medications, diet, and cleaning.
- Maintain Gentle Oral Hygiene: Use a soft-bristled toothbrush and avoid brushing directly over the implant site for the first few days. Rinse your mouth gently with salt water or an antiseptic mouthwash to reduce bacteria.
- Eat Soft, Nutritious Foods: Soft foods like oatmeal, scrambled eggs, and smoothies are ideal in the first few weeks. Avoid hard, crunchy, or sticky foods that can disturb the implant site.
- Stay Hydrated: Drink plenty of water to flush out toxins and keep your mouth moist, which promotes tissue healing.
- Avoid Pressure on the Implant: Do not chew on the side where the implant is placed until it’s fully healed.
- Keep Regular Follow-Up Appointments: Your dentist will monitor your healing progress through periodic check-ups. Regular visits help identify and manage any early signs of complications.
Common Symptoms During Dental Implant Recovery
Some symptoms are completely normal during the healing process. However, knowing what’s normal and what’s not helps you stay alert.
Normal Symptoms
Normal Symptoms
- Mild pain or soreness for a few days
- Slight swelling around gums and jaw
- Minor bleeding within the first 24–48 hours
- Temporary bruising near the surgical area
When to Contact Your Dentist
Call your dentist immediately if you experience:
- Continuous or heavy bleeding
- Severe pain that doesn’t improve with medication
- Swelling that worsens after a few days
- Fever, pus, or a bad taste in the mouth
Prompt attention can prevent infection and ensure successful healing.
Eating After Dental Implant Surgery
A common question patients ask is: When can I start eating normally again?
You can usually start eating soft foods within 24 to 48 hours. Avoid anything hard, crunchy, or sticky for at least a couple of weeks. Gradually reintroduce solid foods as your comfort level improves.
Foods to Eat During Recovery:
- Mashed potatoes
- Smoothies
- Yogurt
- Scrambled eggs
- Soups
Foods to Avoid:
- Nuts, popcorn, and chips
- Sticky sweets like caramel
- Hot and spicy foods
- Carbonated or alcoholic drinks
Following a balanced diet supports your immune system and speeds up tissue healing.
Dental Implant Healing vs. Complete Recovery
It’s important to understand that gum healing and complete implant recovery are not the same.
- Gum Healing: Takes about 1–2 weeks.
- Osseointegration (Bone Healing): Can take 3–6 months.
Even if your gums look healed from the outside, the internal bone healing continues for several months. Only when osseointegration is complete can the final crown be safely attached.
How to Maintain Dental Implants After Recovery
Once your implants have fully healed, maintenance becomes key. With proper care, implants can last for decades or even a lifetime.
- Brush Twice a Day: Use a soft-bristled toothbrush and fluoride toothpaste to clean your teeth and implant crown.
- Floss Daily: Clean between your teeth using dental floss or an interdental brush to prevent plaque buildup.
- Regular Dental Check-Ups: Visit your dentist every six months for cleaning and examination.
- Avoid Bad Habits: Don’t chew ice, open bottles with your teeth, or use your teeth as tools.
- Maintain a Healthy Lifestyle: Eat a balanced diet, quit smoking, and manage any chronic health conditions. These habits support long-term implant success.
Why Choose Teeth Care Multispeciality Dental Clinic for Dental Implants
The success of a dental implant doesn’t just depend on your body’s healing, it also depends on your dentist’s skill and experience.
At Teeth Care Multispeciality Dental Clinic, our implantologists specialize in minimally invasive implant surgery that ensures:
- Reduced discomfort
- Faster healing time
- Long-lasting, natural-looking results
Our clinic combines advanced dental technology with personalized care, helping patients achieve healthy smiles that last for years.
Conclusion
So, how long is the recovery time for dental implants?
In most cases, it takes about 3 to 6 months for complete healing. The first 1–2 weeks involve gum recovery, while osseointegration takes a few months more.
Every patient’s healing journey is different, but with proper care, patience, and guidance from an experienced dental team, your implants can last a lifetime.
If you’re considering dental implants, consult the experts at Teeth Care Multispeciality Dental Clinic to understand your treatment plan and personalized recovery timeline.
