Dental implants are considered one of the most advanced and reliable solutions for replacing missing teeth. They restore chewing ability, improve facial appearance and help maintain jawbone health. At Teeth Care Multispeciality Dental Clinic, one of the most common questions we receive from patients is about the dental implants cost in Kolkata, especially when comparing single tooth implants and full-mouth dental implants.
Implant treatment cost varies from patient to patient because every mouth is different. The number of missing teeth, bone condition and type of implant solution required all play a role. This guide explains the cost differences clearly so you can make an informed decision with confidence.
To learn more about our clinic and approach, explore Teeth Care Multispeciality Dental Clinic below.
What Factors Influence Dental Implant Cost in Kolkata?
Dental implant pricing is customized because treatment planning depends on individual oral health. At our clinic, implant costs are calculated only after a detailed examination.
Key factors that influence implant cost include:
- Number of teeth being replaced
- Type and brand of implant used
- Bone density and jaw structure
- Need for additional procedures such as bone grafting
- Type of crown or prosthetic teeth
- Complexity of the case
- Technology and diagnostics used
Our implant specialists ensure transparency so patients understand what they are paying for.
Single Tooth Dental Implant Cost in Kolkata
A single tooth dental implant is recommended when one tooth is missing and the surrounding teeth are healthy. It replaces the tooth root and crown independently without affecting nearby teeth.
At Teeth Care Multispeciality Dental Clinic, patients are often relieved to know that single tooth dental implant cost in Kolkata typically ranges between INR 18,000 to INR 37,000, depending on the implant system and crown material used.
What Is Included in a Single Tooth Implant?
- Placement of a titanium dental implant
- Healing phase for bone integration
- Fixing a customised dental crown
Single tooth implants help prevent bone loss and offer a permanent solution compared to bridges or removable options.To understand the implant systems and techniques used by our specialists, visit our Implantology Service.
Single Tooth Implant vs Dental Bridge: Cost and Long-Term Value
Patients often compare implants with dental bridges when replacing a single tooth. Although bridges may appear cheaper initially, they require trimming healthy adjacent teeth and do not stop jawbone loss. Implants may cost more upfront but offer superior longevity and oral health benefits. For a detailed explanation, read single tooth implant vs bridge in Kolkata.
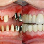
Full Mouth Dental Implants Cost in Kolkata
Full mouth dental implants are ideal for patients who have lost all or most of their teeth. Instead of replacing each tooth individually, this treatment uses strategically placed implants to support a full arch of fixed teeth. At Teeth Care Multispeciality Dental Clinic, we offer advanced full-mouth implant solutions based on patient needs.
Exact Cost for Full Mouth Dental Implants
- All-on-4 full mouth dental implants start from INR 3,85,000
- Final cost may vary based on bone condition, implant brand and prosthetic design
Why Full Mouth Implants Cost More
- Multiple implant placements
- Advanced planning and diagnostics
- Skilled surgical expertise
While the initial investment is higher, full mouth implants provide long-term stability, comfort and natural function.
Single Tooth vs Full Mouth Implants: Cost Comparison
| Aspect | Single Tooth Implant | Full Mouth Implants |
| Number of implants | One | Multiple (All-on-4 or more) |
| Cost range | INR 18,000 – INR 37,000 | Starts from INR 3,85,000 |
| Treatment complexity | Low | High |
| Function restored | One tooth | Entire mouth |
| Long-term value | High | Very high |
Additional Procedures That May Affect Cost
Some patients may need additional treatments before implants can be placed safely. These procedures help ensure long-term success:
- Bone grafting
- Sinus lift
- Gum disease treatment
- Tooth extraction
While these may increase overall cost, they significantly improve implant stability and lifespan.
What to Expect After Dental Implant Surgery
Understanding recovery is an important part of implant planning. Healing time and post-surgical care play a role in overall treatment success. To know more about healing, precautions and follow-up care, read what to expect after a dental implant.
Are Dental Implants Worth the Cost?
Dental implants offer unmatched benefits compared to traditional tooth replacement options:
- Prevent jawbone shrinkage
- Restore natural chewing ability
- Improve facial aesthetics
- Last for decades with proper care
- Eliminate denture discomfort
Although implants involve an investment, they often reduce future dental expenses and improve quality of life.
Dental Implant Cost for Senior Patients
Age alone does not increase implant cost. Bone quality and overall health are more important factors. Many senior patients choose implant-supported dentures or full mouth implants to regain confidence and comfort.
For patients in North Kolkata, consultations are available at our Dental Clinic in Chinar Park.
Choosing the Right Clinic for Implant Treatment
Implant success depends on experience, planning and technology. Choosing treatment based only on low cost can lead to complications. Patients can visit our conveniently located clinics for expert care:
Why Choose Teeth Care Multispeciality Dental Clinic
Teeth Care Multispeciality Dental Clinic is trusted for safe, precise and long-lasting implant treatments in Kolkata. Our implantologists use advanced diagnostics and guided techniques to ensure predictable results.
What sets us apart:
- Experienced implant specialists
- Advanced imaging and planning
- High-quality implant systems
- Strict sterilisation protocols
- Transparent cost discussion
- Flexible payment options
To know more about our team and philosophy, visit About Teeth Care Multispeciality Dental Clinic.
How to Get an Exact Implant Cost Estimate
The exact cost of dental implants can only be determined after a detailed examination and imaging.
To book a consultation with our specialists, visit Contact Us.
Conclusion
Understanding dental implants cost in Kolkata helps you choose the right treatment with confidence. Single tooth implants generally cost between INR 18,000 to INR 37,000, while full mouth dental implants such as All-on-4 start from INR 3,85,000. At Teeth Care Multispeciality Dental Clinic, we focus on long-term success, comfort and transparent pricing to deliver the best possible outcomes.
FAQs
What is the cost of a single tooth dental implant in Kolkata?
How much do full mouth dental implants cost in Kolkata?
Do implants require special care?
What is the cost of a single tooth dental implant in Kolkata?
No. Normal oral hygiene and regular checkups are sufficient.
How long do dental implants last?
With proper care, implants can last for decades.


